関節リウマチの症状
関節リウマチは、いきなり激しい症状が出る病気ではありません。
初期は、食欲がない、だるい、熱っぽい、体重が減る、といった漠然とした症状が、まずあらわれます。関節リウマチの「はれ」は、多くの場合、初めは指の関節に出ます。
リウマチの活動期には、発熱、体重減少、貧血、リンパ節腫脹などの症状が現れます。とても疲れやすくなり、午後には昼寝をしないと生活できない、ということもよくあります。
朝のこわばり
朝のこわばりはリウマチに特徴的です。からだや関節周囲のこわばりが現れ、とくに朝の症状が強いために 「朝のこわばり」と名前がつけられています。
朝のこわばりは、リウマチの状態がひどいと長時間持続し、状態がよくなると消えてしまいます。このため、朝のこわばりの持続時間でリウマチの状態を推しはかることができます。
関節炎
リウマチでみられる関節炎には、三つの特徴があります。
①多発性 あちこちの関節におこる
②対称性 左右対称におこる
③移動性 あちこちの関節に移り変わる
このような三つの特徴をもった関節炎で、朝のこわばりを伴う場合には、リウマチの可能性がきわめて高くなります。
関節炎が起こりやすいのは、 手首(=手関節)、指の付け根、指の第二関節などの比較的小さな関節です。一方、指の第一関節(爪のすぐ下)にはおこりません。ここに関節炎がおこるのは 変形性関節症などの別の病気です。
このほか、足の指の付け根や、足首(=足関節)、肩、ひじ、ひざなどの関節にもよく炎症がおこります。これに対して、股関節や脊椎関節はリウマチがおこりにくい関節です。
関節炎がおこると、その関節は熱っぽくなって腫れ、関節を動かすと痛みはますます強くなります。しかし、赤く腫れあがることはきわめてまれです。さらに炎症が進むと、関節の隙間がなくなってしまうために、関節は完全に固定された状態(=拘縮)になり、動かなくなってしまいます。
関節炎が起こりやすいのは、 手首(=手関節)、指の付け根、指の第二関節などの比較的小さな関節です。一方、指の第一関節(爪のすぐ下)にはおこりません。ここに関節炎がおこるのは 変形性関節症などの別の病気です。
このほか、足の指の付け根や、足首(=足関節)、肩、ひじ、ひざなどの関節にもよく炎症がおこります。これに対して、股関節や脊椎関節はリウマチがおこりにくい関節です。
関節炎がおこると、その関節は熱っぽくなって腫れ、関節を動かすと痛みはますます強くなります。しかし、赤く腫れあがることはきわめてまれです。さらに炎症が進むと、関節の隙間がなくなってしまうために、関節は完全に固定された状態(=拘縮)になり、動かなくなってしまいます。
腱鞘炎
筋肉が骨に付着するところを臆といい、腱は腱鞘という、ちょうど刀の鞘のような組織でくるまれています。
そこに炎症がおこると、腱鞘は腫れあがるために腱の動きが悪くなってしまいます。
そうなると、ある程度の力をかけたときに、腱が腱鞘の中を突然に動くような状態になります。これを「 ばね指」といいます。
そこに炎症がおこると、腱鞘は腫れあがるために腱の動きが悪くなってしまいます。
そうなると、ある程度の力をかけたときに、腱が腱鞘の中を突然に動くような状態になります。これを「 ばね指」といいます。
滑液包炎
滑液包は、関節の周囲にある袋状のものです。ふだんはその中にゼリー状の液体が入っています。
しかし、ここに炎症がおこると、その部分にさらに液体がたまって腫れあがります。この 滑液包炎は、ひじとか足関節の周囲、あるいはひざの前面によくみられます。
しかし、ここに炎症がおこると、その部分にさらに液体がたまって腫れあがります。この 滑液包炎は、ひじとか足関節の周囲、あるいはひざの前面によくみられます。
関節変形
リウマチが進行すると、関節の破壊、筋の萎縮、腱の断裂などにより、リウマチ特有の関節変形がおこるようになります。これらの関節変形を総称して「
リウマチ変形」といいます。手の指が外側を向いてしまう変形を
尺側変形といいます。腕の外側の骨を尺骨とよびますが、そちらの方向に変形するためについた名称です。
また、指の変形には スワンネック変形と ボタンホール変形があります。スワンネック変形は、ちょうど白鳥の首のような形になる変形のことです。ボタンホール変形は、ボタン穴に針を通そうとするときの指の位置に似ているためにつけられた名前です。
足の指にも変形がおこります。多いのは 外反母趾です。これは親指の付け根が大きく外側に突出するものです。また、足の指の付け根の関節が亜脱臼をするために背側に足の指が曲がることがあります。これを 「 槌指 」といいます。このほか、親指がその他の指の上に重なってしまうこともあります。こうなると靴がはけなくなってしまいます。さらに、足の指の関節が脱臼しかけるために、足の裏には 「たこ」ができて歩きにくくなることもあります。いずれにせよ、関節変形はリウマチの最終像といえます。そうなる前に 適切な治療が必要になります。
また、指の変形には スワンネック変形と ボタンホール変形があります。スワンネック変形は、ちょうど白鳥の首のような形になる変形のことです。ボタンホール変形は、ボタン穴に針を通そうとするときの指の位置に似ているためにつけられた名前です。
足の指にも変形がおこります。多いのは 外反母趾です。これは親指の付け根が大きく外側に突出するものです。また、足の指の付け根の関節が亜脱臼をするために背側に足の指が曲がることがあります。これを 「 槌指 」といいます。このほか、親指がその他の指の上に重なってしまうこともあります。こうなると靴がはけなくなってしまいます。さらに、足の指の関節が脱臼しかけるために、足の裏には 「たこ」ができて歩きにくくなることもあります。いずれにせよ、関節変形はリウマチの最終像といえます。そうなる前に 適切な治療が必要になります。
リウマトイド結節
ひじ、ひざの前面に、こぶのような硬いものができることがあります。小さいものは小豆大ですし、大きければ大豆大になります。後頭部やお尻の部分にもできることがありますが、押しても痛みは伴いません。
これは リウマトイド結節とよばれ、リウマチの活動性が高いときにみられやすい傾向があります。
これは リウマトイド結節とよばれ、リウマチの活動性が高いときにみられやすい傾向があります。
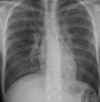
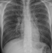
肺障害
リウマチでは、
間質性肺炎、
肺線維症がみられることがあり、これらはリウマトイド肺とよばれています。自覚症状としては、息切れ、空咳などがあります。ただ、メトトレキサートをはじめとする抗リウマチ薬の副作用でも間質性肺炎をおこすことがありますので、どちらの原因でおこったのかを見極めることが、治療上大変重要になります。
肺に水がたまる胸膜炎をおこすこともあります。さらに、まれですが、 閉塞性器質性細気管 支肺炎(BOOP)といわれる移動性の肺炎をおこすこともあります。
肺に水がたまる胸膜炎をおこすこともあります。さらに、まれですが、 閉塞性器質性細気管 支肺炎(BOOP)といわれる移動性の肺炎をおこすこともあります。
悪性関節リウマチ
リウマチでは血管に炎症がおこることもあり、このような病態は悪性関節リウマチとよばれています。中枢の太い血管に炎症をおこすと心筋梗塞や腸間膜動脈血栓症などを起こます。また、末梢の細い血管に炎症をおこすと皮膚潰瘍や神経炎などを起こします。
このような場合には、ふつうのリウマチの場合と異なり、比較的大量のステロイド薬を使うことになります。
二次性アミロイドーシス
強い炎症が長く続くと、炎症の産物であるアミロイドとよばれる物質がからだのあちこちにたまるようになります。消化管にたまると吸収障害をおこす原因になったり、心臓にたまると心不全、腎臓にたまると腎不全の原因になります。これはリウマチの最終像です。そうなる前に適切な治療を受けることが大切です。





